ВЫПУСК: № 12 (1393) от 19 марта 2024 года
Артем Свечников: «Мечтаю работать на федеральном телеканале»
                    ГТРК «Пенза» - настоящая школа и жизни, и профессионального мастерства для молодых журналистов. Один из них - Артем Свечников, который сегодня стал героем нашей традиционной рубрики.
- Артем, у тебя журналистское образование?
- Журналистское образование я...                
                
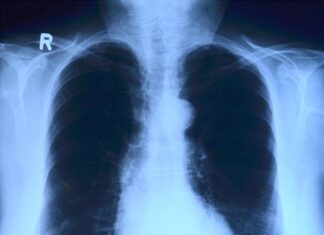
            Что надо знать о туберкулезе
                    24 марта мир отмечает День борьбы с туберкулезом. Всемирная организация здравоохранения разработала стратегию, которая направлена на снижение смертности от туберкулеза и сокращение новых случаев заболевания, а также на максимальное обеспечение граждан дорогостоящими лекарствами, чтобы...                
                
            Отважное сердце в скромном обличье
                    Недавно в сквере на улице Пушкина я наблюдала умилительную сцену: бабушка и кроха-внук кормили воробьев. «Смотри, какие птички. Ну-ка, покорми их!» - женщина из пакета насыпала в маленькую ладошку семечки, сама зачерпнула горсть и...                
                
            ПРЯМАЯ ЛИНИЯ
ПОГОДА
Пенза
			пасмурно
			
		
					2.8
					°
					C
				
				
						
						2.8
						°
					
					
						
						2.8
						°
					
				
					
					73						%
				
				
					
					4.8kmh
				
				
					
					100						%
				
			Вт
						
							6
							°
						
					Ср
						
							8
							°
						
					Чт
						
							8
							°
						
					Пт
						
							7
							°
						
					Сб
						
							10
							°
						
					
            
		


